T幼稚淋巴细胞白血病(T-PLL)是一种十分罕见的成熟T细胞肿瘤。约占所有以白血病发病的成熟T细胞肿瘤的1/3,但仅占所有淋巴肿瘤的很小一部分。T-PLL的准确诊断十分重要,因为T-PLL的治疗方案十分特殊,而不能采用其他T细胞肿瘤的治疗方案。
T-PLL的临床病程十分侵袭。尽管一小部分患者(约15%)就诊时没有症状,并且这种惰性的表现会持续一段时间,在有的患者甚至会持续数年。但是,这些患者不可避免地会进展为侵袭性的临床病程,并且可能会非常迅速。T-PLL的中位发病年龄为61岁左右,男性患者居多(男/女=2:1)。
【临床表现】
患者可能出现以下临床表现:
脾脏肿大:脾大是最常见的临床表现,约2/3的患者会出现脾大
半数的患者会出现肝大和/或淋巴结肿大,但不会很大
皮肤改变常见(20%):常见皮肤结节,斑丘疹等,红皮病罕见
周围水肿:常见,特别是眼眶周围和/或结膜水肿,是T-PLL的特征性表现
其他临床表现包括:胸腹腔积液和中枢神经系统累及

【实验室检查】
淋巴细胞计数通常很高,常为100*10^9/L以上,并且90%以上为幼稚淋巴细胞
LDH通常升高,但高钙血症罕见(常见于成人T细胞白血病淋巴瘤[ATLL])
HTLVI和II的血清学和/或DNA检测阴性(ATLL阳性)
诊断T-PLL的诊断需要形态学、免疫表型与细胞/分子遗传学相结合
【形态】
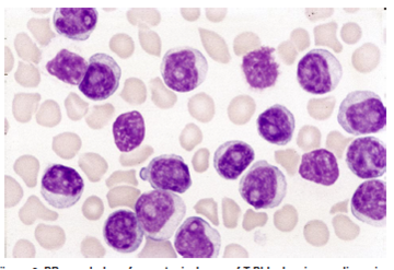
外周血涂片是最为关键的检查之一,为诊断提供了首要线索。涂片可见核浆比较高的幼稚淋巴细胞。在50%的病例中,可见圆形或卵圆形的细胞核,其余患者细胞核不规则,并通常伴有褶皱(但不如Sezary细胞或ATLL细胞显著)。典型的T-PLL细胞具有明显的核仁与嗜碱性的包浆。此外,T-PLL具有两者形态学的变异型,小细胞变异型和脑形变异型,这两者约占所有患者的20%左右。这两种变异型与典型的T-PLL具有相似的免疫表型,细胞遗传学和临床特征。

图1.典型的T-PLL细胞形态学
【免疫表型】
免疫表型为胸腺后T细胞表型:TdT阴性,CD1a阴性,CD5、CD2、CD7阳性。根据英国皇家马斯登医院的结果:60%的患者为CD4+/CD8-,25%为CD4+/CD8+,其余病例为CD8+。超过2/3的患者膜上表达CD3和TCR-β,其余包膜上缺乏1种或者2种抗原的表达。与其他成熟T细胞白血病(弱表达或缺失)不同的是,T-PLL的CD7的表达通常很强。CD52的表达很强,某种程度上解释了CD52单抗治疗有效。不表达如TIA-1等的细胞毒性T细胞的标志,即使在CD8阳性的病例中。

图2.CD3表达缺失
【细胞遗传学】
75%的T-PLL患者具有累及14号染色体的遗传学异常,以14号染色体的到位最为常见。在一部患者中,会出现14号染色体的连续易位,t(14;14)。该易位导致了TCL-1蛋白的激活和高表达。20%的患者可以出现t(X;14)(q28;q11),引起TCR-α和MCTP1基因(TCL-1基因家族)的重排。2/3的患者具有8号染色体3体或者iso8q遗传学异常。
【分子遗传学】
T-PLL具有IL2RG、JAK1、JAK3及STAT5B等分子突变,但目前并未在临床上开展检测。
【鉴别诊断】T-PLL可通过免疫表型与B-PLL鉴别开来,此外B-PLL皮肤浸润和淋巴结肿大罕见。
T-PLL与T大颗粒淋巴细胞白血病(T-LGL)、ATLL、Sezary综合征(SS)和外周T细胞淋巴瘤,需要整合临床信息和实验室检查(外周血形态、组织学、免疫表型和遗传学特征)。
用于鉴别成熟T细胞白血病免疫表型分析

“T慢性淋巴细胞白血病(T-CLL)”已不属于WHO的分类,目前已经被归为T-PLL的小细胞变异型。
病例
男性,77岁,因膀胱肿瘤切除术行血常规检查示淋巴细胞增多,血涂片提示“CLL”,后随访发现淋巴细胞持续增高,行免疫表型检查,诊断为“T-CLL”,未予干预,建议6个月的随访。在一个月内患者出现了第3、4、6颅神经的瘫痪,收住神经内科,进行了腰穿[未进行免疫表型分析]与MRI检查,未得出结论,拟诊为血管炎,予激素治疗未缓解。白细胞显著增高,请血液科会诊,腰穿检查联合免疫表型显示出与血液中相同的异常表型T细胞,MRI显示脑膜显著强化。诊断为T-PLL伴中枢侵犯。患者接受了CD52单抗治疗及鞘内注射化疗药物治疗,随访6年,依然状态良好。
【Keypoints】1.外周血涂片分析联合免疫表型分析对于T-PLL诊断十分重要。高白细胞是一个很显著的临床特征。
2.应重视T-PLL小细胞变异型的诊断,避免诊断为“T-CLL”。
3.不能因为CD3表达缺失,共表达CD4和CD8而诊断为T-ALL。
4.不能因为CD8单阳性而排除T-PLL诊断。
参考文献
1.KielMJ,VelusamyT,RollandD,SahasrabuddheAA,ChungF,BaileyNG,;124:1460-72.
2.;120:538-51.






